無菌になったことを確実に判断する
根管治療
根の治療の目的は根管内を
無菌にすることです。
根管嫌気培養法(根管内が無菌になった事を確かめる治療法)による歯内療法を行っています。
  • *
    Before
    *
    *
    After
  • *
    Before
    *
    *
    After
  • *
    Before
    *
    *
    After
  • *
    Before
    *
    *
    After
  • *
    Before
    *
    *
    After
治療詳細情報
主訴 根尖病巣の治療
担当医 中垣直毅
治療期間
治療回数
約1週間ごとに根管内の細菌に嫌気培養を行い無菌になるまで消毒を行う。
3~4回で無菌になったことを確認できるケースや3ヶ月から半年、またはそれ以上かかる症例もめずらしくありません。
治療内容 マイクロスコープを用いても拡大倍率が約20倍程度なので、根管の入り口が拡大されるだけで、根尖病巣の原因となっている細菌は実際に見ることが出来ません。
根尖病巣内の細菌を根管経由で採取して専用のチェアーサイド嫌気培養器で培養を行い 無菌になるまで消毒を繰り返します。
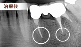
無菌になったことを確認して、根管内に根管充填剤を充填して治療を終了します。
根尖病巣の原因となっている細菌は、前回の根管治療の消毒で無菌にならず生き延びた強い細菌の集合体です。
通常の消毒薬ではなかなか無菌にならないので、それらの細菌に対して抗生物質感受性試験をおこない、最適な抗生剤を選び出して消毒に用いるケースも多々あります。
根管内の消毒を繰り返すも、なかなか無菌にならないことで通常の根管治療では成功率が落ちることがわかり、根管内嫌気培養の必要性の意味が深く理解できてこの治療を受けてよかった実感される方が多いです。
治療費
  •  10万円+(3千円×回数)+TAX
リスク
副作用
注意点
成功率は100%ではありません。
根尖病巣から採取した細菌を嫌気培養器に移す時に空気中の酸素に必ず曝露します。
根尖病巣内の細菌は嫌気性菌といって酸素に弱い細菌です。
殆どの嫌気性菌は酸素の曝露でも死なずに嫌気培養が可能ですが、一部の嫌気性菌が酸素の曝露によって培養前に死滅して実際にまだ細菌がいるのに見かけ上の陰性として判断される可能性も極稀にあります。

根管治療全般のリスクですが根管は湾曲していたり、枝分かれしていたり、また、石灰化を起こしていたり非常に複雑です。
根尖病巣へ器具が到達できずに治療が不可能な症例もあります。
無理をして治療を行うと根管内の壁に穿孔したり、器具が破折することもあります。
どの歯が当医院で
治療した歯でしょうか?
  • セラミッククラウン&ラミネートベニア
  • 美しく自然な白い歯に
  • セラミック&ダイレクトボンディング
  • 特殊な歯の色の症例
  • 摩耗のある症例
  • ジルコニアセラミックスクラウン
  • 破折症例
  • 身体に優しい歯科材料で美しく
ページの先頭へ戻る