

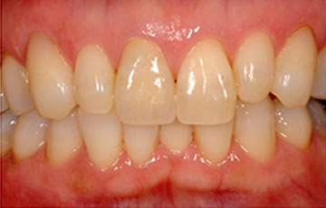
患者様のご要望により、他の歯を触らずに横の歯に合わせて、周りの歯に溶け込むように自然な感じで仕上げました。
金属を全く使用しないノンメタル治療のため、
身体に優しく、自然な透明感を再現できました。
| ノンメタル治療 | |
|---|---|
| 施術内容 | ホワイトニング |
| ダイレクトボンディング | |
| セラミッククラウン | |
周りの歯に溶け込むように自然な仕上がり
来院・初診
Step.01
Step.02
Step.03

| 主訴 | 歯牙破折 身体に優しいセラミックスで元の通りに美しく治したい |
|---|---|
| 担当医 | 中垣直毅 |
| 治療期間 | 根管治療 1ヶ月 ホワイトニング 1日 審美性を追求した精密セラミックス治療 半月 合計1ヶ月半 |
| 治療回数 | 根管治療 3回 ホワイトニング 1回 セラミックス治療 3回 |
| 治療内容 | 歯髄が保存不可能だったため、根管治療を行った。 非金属のグラスファイバーコアで支台を築造ホワイトニングを行い口腔内の色調を白く明るくして審美性を追求したシェードテイキング(色合わせ)を行い、 技工士による審美性を追求した精密なセラミックス治療を行った。 |
| 金額 |
合計:17万円 +TAX |
| リスク |
セラミックスは歯ぎしりや外傷など過度の力、衝撃でかけたり、割れたりすることがあります。 清掃状態が悪かったり、食生活が悪いと歯周組織の状態が悪化したり、2次虫歯になる危険性があります。日頃の清掃と食生活に気を付けて歯科医院でのケアーを受けてください。歯ぎしりが強い方は就寝時に歯ぎしり防止のマウスピースの着用をお勧めします。 |
※ 治療費の設定は治療を行った当時の金額です。現在の金額とは異なる場合がありますので予めご了承ください。 |
|