上の歯は「ジルコニア製内冠」を装着し「ジルコニア製テレスコープデンチャー」、
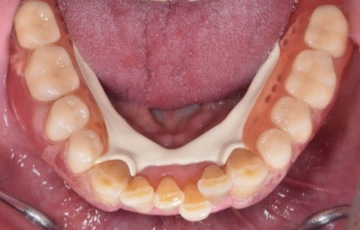
下の歯は天然歯なので歯を削らずに、「ジルコニア製ノンクラスプデンチャー」にしました。
全て金属を使わない入れ歯です。
			
 
					 
					point
審美的(金属色が無い)
金属アレルギーを起こさない
電磁波を集めない
金属イオンによる体内汚染を起こさない
バネ式の入れ歯のようにバネをかける歯を揺さぶらないので歯に負担をかけず歯が長持ちする
よく噛める
支える歯にダイレクトに噛む力が伝わるので咬み心地が良い
清掃しやすい
取り外しがしやすい(着脱方向が決まっている)
 
							 
							 
							 
							 
							 
							 
							 
							 
							 
							 
							 
							 
							 
							 
							











| 主訴 | 金属を使わずに審美的なよく噛める入れ歯を作りたい。 | 
|---|---|
| 治療期間 | 3ヶ月 | 
| 治療内容 | 金属を全く使わない治療を希望していたのでジルコニアセラミックスという素材でテレスコープデンチャーを作製した。 金贋を使わないので身体に侵しく、審美性も噛み心地もよく、イカでもタコでも焼肉でも何でも噛めます。 | 
| 金額 | 【上顎】 
 合計:258万円 +TAX | 
| リスク | 金属と比べて衝撃に弱く破折しやすい。 | 
下の歯は天然歯なので歯を削らずに金属を使わないノンクラスプデンチャーにしました。
 
							 
							









| 主訴 | 金属を使わずに審美的なよく噛める入れ歯を作りたい。 | 
|---|---|
| 治療期間 | 3ヶ月 | 
| 治療内容 | 金属を全く使わない治療を希望していたのでジルコニアセラミックスという素材でテレスコープデンチャーを作製した。 金贋を使わないので身体に侵しく、審美性も噛み心地もよく、イカでもタコでも焼肉でも何でも噛めます。 | 
| 金額 | 【下顎】 
 合計:76万円 +TAX | 
| リスク | 金属と比べて衝撃に弱く破折しやすい。 | 
 中垣歯科医院
中垣歯科医院
遠方よりお越しの患者さまへ
Copyright Nakagaki Dental Clinic All Rights Reserved.




