

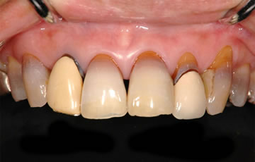
患者様の「なるべく削りたくない」という希望により、
必要最小限の削除量で周りの天然歯に歯の色を合わせました。
| ノンメタル治療 | |
|---|---|
| 施術内容 | セラミッククラウン |
高度な色合わせで天然歯と見分けの付かない
仕上がり
Step.01
Step.02

Step.03
| 主訴 | 上顎左右側切歯を美しくしたい 特殊な色調だが他の歯はなるべく削らずに歯科金属を外して、身体に合う歯科材料に変えたい |
|---|---|
| 担当医 | 中垣直毅 |
| 治療期間 | ノンメタル治療 1ヶ月 ダイレクトボンディング 1回 色調を追求した精密セラミックス治療 3回 |
| 治療回数 | 歯周治療 10回 セラミックス治療 3回 |
| 治療内容 | 特殊な色調のため、セラミックス専門の技工士立会いのもと審美性を追求したシェードテイキング(色合わせ)を行い、精密なセラミックス治療を行った。 隣在歯が虫歯になっていたので審美性を追求したダイレクトボンディングを行った。 |
| 金額 |
合計:33万円 +TAX |
| リスク |
セラミックスは歯ぎしりや外傷など過度の力、衝撃でかけたり、割れたりすることがあります。 清掃状態が悪かったり、食生活が悪いと歯周組織の状態が悪化したり、2次虫歯になる危険性があります。 日頃の清掃と食生活に気を付けて歯科医院でのケアーを受けてください。 歯ぎしりが強い方は就寝時に歯ぎしり防止のマウスピースの着用をお勧めします。 |
※ 治療費の設定は治療を行った当時の金額です。現在の金額とは異なる場合がありますので予めご了承ください。 |
|