

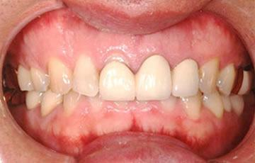
歯ぐきのラインに合わせてジルコニアセラミッククラウンをかぶせました。
金属を使用しないことに加え、連結しないことで、より歯と身体に優しい治療となりました。
| ノンメタル治療 | |
|---|---|
| 施術内容 | ジルコニアセラミッククラウン |
金属を全く使用しない、連結しない
Poit.01
Poit.02
内側に金属を使用すると強度的には丈夫ですが、透明感のない歯になりやすいです。
また、金属は身体に悪影響を及ぼします。
Step.03
金属を全く使用しない、
連結しない(単冠)
歯と身体に優しい治療を行ないます。
| 主訴 | 歯肉の退縮(下がり)が気になる 歯科金属を外して、身体に合う歯科材料に変えたい |
|---|---|
| 担当医 | 中垣直毅 |
| 治療期間 | ノンメタル治療 半月 |
| 治療回数 | 審美性を追求した精密セラミックス治療 3回 |
| 治療内容 | 歯を連結しているのとセラミックスのフレームに金属を使っているのが身体に良くないので歯肉が退縮した金属フレームのセラミックスの連結冠を除去して、 単冠のジルコニアセラミックスクラウンを装着した。 |
| 金額 |
合計:39万円 +TAX |
| リスク |
セラミックスは歯ぎしりや外傷など過度の力、衝撃でかけたり、割れたりすることがあります。 清掃状態が悪かったり、食生活が悪いと歯周組織の状態が悪化したり、2次虫歯になる危険性があります。 日頃の清掃と食生活に気を付けて歯科医院でのケアーを受けてください。 歯ぎしりが強い方は就寝時に歯ぎしり防止のマウスピースの着用をお勧めします。 |
※ 治療費の設定は治療を行った当時の金額です。現在の金額とは異なる場合がありますので予めご了承ください。 |
|