

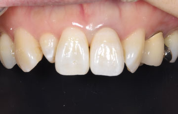
身体に優しく、見栄えを改善


| 主訴 | 歯科金属を使わない、身体に合う歯科材料で審美的に治したい |
|---|---|
| 担当医 | 中垣直毅 |
| 治療期間 | セラミックス治療 半月 |
| 治療回数 | 審美性を追求した精密セラミックス治療 3回 |
| 治療内容 | 金属に陶材を焼き付けた冠が入っていた コア(芯棒=土台)にも金属が使われていたので冠を外して、コアを除去し、金属を使わないグラスファイバーコアで支台築造を行い、ジルコニアセラミックスクラウンで審美的に修復を行った。 |
| 金額 |
合計:15万円 +TAX |
| リスク |
セラミックスは歯ぎしりや外傷など過度の力、衝撃でかけたり、割れたりすることがあります。 掃状態が悪かったり、食生活が悪いと歯周組織の状態が悪化したり、2次虫歯になる危険性があります。 日頃の清掃と食生活に気を付けて科医院でのケアーを受けてください。 歯ぎしりが強い方は就寝時に歯ぎしり防止のマウスピースの着用をお勧めします。 |
※ 治療費の設定は治療を行った当時の金額です。現在の金額とは異なる場合がありますので予めご了承ください。 |
|